Finding the best place to get veneers in Turkey can transform your smile and boost your confidence. Turkey is known for high-quality dental care, competitive prices, and skilled specialists. Clinics in cities such as Istanbul, Antalya, and Izmir welcome thousands of international patients every year.
For many people, this country offers the perfect combination of affordability, modern technology, and expertise. The right clinic ensures that you get natural-looking results that last for many years without compromising on quality. Choosing our clinic means trusting an AACI-accredited centre with experienced dentists, excellent patient reviews, and modern facilities. We also provide travel support, English-speaking staff, and full post-treatment guidance, making the entire journey smooth and worry-free for international patients.
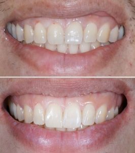
Best Veneers in Turkey - Before and After Gallery





The best veneers are often showcased in detailed before-and-after galleries. These examples help you see how dramatically the best veneers in turkey can improve teeth colour, alignment, and overall appearance. We help you achieve a beautiful smile.
These galleries also show various veneer types such as porcelain, Emax, and composite. You can compare results to decide which option fits your style, budget, and dental needs.
See real smile transformations with the veneers:
- Straightened and aligned teeth
- Whitening and stain removal
- Fixing chips or cracks
- Enhanced overall aesthetics
How Much Does The Best Dentist in Turkey for Veneers Cost?
Choosing the best dentist in Turkey for veneers often means balancing price with expertise. Costs can vary widely depending on the clinic’s location, the dentist’s experience, and the materials used. Compared to many European countries, veneer costs in Turkey are much more affordable £120.
Most clinics offer transparent price lists or package deals that include consultations, X-rays, the procedure itself, and follow-up appointments. Travel arrangements and accommodation are often bundled into the total price for international patients.
Full-mouth packages
A full-mouth veneer package typically covers 16 to 20 veneers. This approach ensures symmetry and consistency across all visible teeth. Packages can also include airport transfers, hotel stays, and translation services.
Patients who choose a full-mouth package often get a lower per-tooth cost compared to single veneer procedures. This makes Turkey one of the most cost-effective destinations.
12 E-Max Veneers
Per Jaw-
12 E-Max Veneers
-
VIP Transfer
-
Consultation
-
Accommodation
-
Panoramic x-ray
-
Travel Assistance
-
Local Anesthesia
16 E-Max Veneers
Per Jaw-
16 E-Max Veneers
-
VIP Transfer
-
Consultation
-
Accommodation
-
Panoramic x-ray
-
Travel Assistance
-
Local Anesthesia
20 E-Max Veneers
Per Jaw-
20 E-Max Veneers
-
VIP Transfer
-
Consultation
-
Accommodation
-
Panoramic x-ray
-
Travel Assistance
-
Local Anesthesia
12 Empress Veneers
Per Jaw-
12 Empress Veneers
-
VIP Transfer
-
Consultation
-
Accommodation
-
Panoramic x-ray
-
Travel Assistance
-
Local Anesthesia
Best Dentist for Veneers in Turkey - Procedure Benefits
Visiting the best dentist for veneers in Turkey comes with many advantages. These professionals are experienced in working with international patients and understand the expectations for natural, high-quality results.
You can get advanced equipment, a patient-centred approach, and a strong commitment to safety and hygiene standards. Many clinics also provide detailed pre- and post-care instructions to maximise veneer longevity.
Industry focused on excellence
Turkey’s dental sector is highly competitive, pushing clinics to maintain world-class service. Continuous training ensures dentists stay updated on the latest veneer techniques and materials.
Clinic with global accreditation
Many clinics are accredited by international dental associations. This recognition guarantees compliance with strict safety and quality standards.
Our Dental Veneer Prices
CE & FDA Approved Veneer Brand
E-max Laminate Veneer
£240
Lumineer
£260
Composite Bonding
£75




Thousands of successful cases yearly
Top clinics treat thousands of patients each year, building strong reputations in the cosmetic dentistry field. This experience allows dentists to handle complex cases with precision. Experienced dentists perform hundreds of veneer cases annually, ensuring predictable outcomes.
Strict medical rules are always in place
Turkish dental regulations require clinics to follow rigorous hygiene protocols. Sterilisation and infection control are taken seriously to protect patient health. Clinics follow strict sterilisation and infection control protocols to protect patient health.
Continued care after treatment
The best clinics offer follow-up visits or remote check-ins to ensure your veneers remain in top condition. Patients receive personalised maintenance advice.
Affordable prices
Compared to many European countries, veneer costs in Turkey are much more affordable while maintaining high standards. The country offers lower-cost cosmetic dental treatment without sacrificing quality.
Top-quality international service
Multilingual staff, modern facilities, and a welcoming atmosphere make the process smooth for international visitors. International patients receive full support, including appointments, travel, accommodation, and post-treatment care.
Types Of The Best Dental Veneers in Turkey
The best dental veneers in Turkey are available in several materials, each with its own advantages. Understanding the differences can help you select the right type for your goals.
Porcelain
Porcelain veneers are known for their durability, stain resistance, and natural appearance. They mimic the translucency of real teeth and can last over a decade with proper care. Their custom-crafted design ensures a flawless fit that blends seamlessly with your natural smile.
Emax laminate veneers
Emax veneers are made from high-strength lithium disilicate glass-ceramic. They are thinner than porcelain yet equally durable, making them a popular choice for minimal tooth preparation
Empress veneers
Empress veneers are pressed ceramic restorations that offer vibrant, lifelike aesthetics. They are ideal for patients seeking a balance between beauty and strength. Their warm, light-reflective quality creates a radiant beam that closely resembles natural teeth.
Best Place for Veneers in Turkey - Perfect Treatment Candidate
Knowing whether you’re an ideal candidate for veneers is essential before starting treatment. In our clinic in Turkey, our dental specialists will conduct a detailed evaluation to determine whether you are an ideal candidate for veneers.
This assessment ensures that your veneers treatment is carefully planned to match your dental health, aesthetic goals, and long-term success.
You want to fix how your teeth look
Veneers can cover chips, gaps, discolouration, or uneven shapes to improve your smile. They offer a quick, long-lasting way to achieve a uniform and attractive appearance without extensive dental work.
You have enough healthy tooth enamel
Adequate enamel ensures veneers can bond securely and last for years. It also provides a stable foundation that helps maintain both the strength and natural look of your teeth over time.
You follow a good daily dental hygiene routine
Regular brushing, flossing, and dental checkups keep veneers and natural teeth in excellent condition. Maintaining these habits not only preserves your beauty but also extends the lifespan of your dental work.
Your teeth are mostly straight
Minor misalignments are acceptable, but severe crowding may require orthodontic work first. Ensuring proper alignment helps veneers fit comfortably and enhances both the function and appearance of your teeth.
You don’t grind or clench your teeth
Bruxism can damage veneers; your dentist may recommend a night guard if needed. Protecting your teeth from excessive pressure helps maintain the integrity and longevity of your restored smile.
Your teeth have stains
Veneers are ideal for covering deep stains that whitening treatment can’t remove. They provide a uniform, bright appearance, giving your smile a natural and radiant look.
Your teeth have small cosmetic flaws in shape or structure
Small chips, cracks, or irregular shapes can be easily corrected with veneers. This minimally invasive solution enhances the overall aesthetics of your teeth while preserving as much natural structure as possible.
Best Clinic in Turkey for Veneers - Treatment Process
The best clinic in Turkey for veneers follows a clear, patient-friendly process from consultation to final results. Each step ensures comfort, precision, and a beautiful, lasting smile tailored to your unique dental needs.
Initial consultation
Your dentist evaluates your teeth, discusses goals, and explains veneer options. Digital imaging may be used to preview your new smile.
Personalised treatment plan
A tailored treatment plan ensures the procedure meets your expectations, timeline, and budget. It also outlines the type of veneers, the number of teeth involved, and any preparatory procedures needed for optimal results.
Travel arrangements
International patients receive assistance with flights, airport transfers, and hotel bookings. This support ensures a stress-free experience when coming to Turkey for cosmetic dental treatment.
Dental appointments
Tooth preparation, impressions, and veneer fitting take place over several visits, often within a week. Each appointment is carefully scheduled to guarantee comfort and precision in achieving your ideal appearance.
Return home
After final checks, you can return home with a transformed appearance. Clinics provide detailed care instructions to maintain your new veneers and preserve their appearance long-term.
Follow-up visits
Some clinics offer remote follow-ups or recommend a check-in within 6–12 months. Regular monitoring helps ensure your teeth and veneers remain healthy, functional, and visually appealing.
Book your consultation today to discuss your veneers or dental implants with our expert team. Transform your smile safely and confidently — trust our clinic, which is recognised for excellence and patient care.
What Makes Parmire Turkey the Best Turkish Dentist for Veneers?
Parmire Turkey is recognised as one of the best clinics for veneers due to its high patient satisfaction rate.
Professional dental care
Our clinic combines artistry with precision, ensuring veneers look natural and fit comfortably.
Skilled dental experts with daily experience
Dentists perform multiple veneer procedures daily, giving them unmatched expertise.
Personalised care plans
Each cosmetic treatment plan is based on the patient’s needs, preferences, and dental health.
Latest technology
State-of-the-art tools and digital systems improve accuracy and reduce time.
How To Choose Where to Get Veneers in Turkey, Antalya?
Choosing where to get veneers in Turkey—especially in Antalya—requires research and careful consideration.
Check the clinic’s hygiene standards
Visit in person or request proof of sterilisation and safety protocols.
Look for all-inclusive treatment packages
These packages often save money and simplify travel planning.
Choose experienced dentists with great reviews
Online testimonials and before-and-after photos are valuable indicators of quality.
Ensure the clinic has English-speaking staff
Clear communication is essential for understanding details and aftercare.
Avoid choosing solely based on low price
Cheaper doesn’t always mean better; quality and safety should come first.
Best Place in Turkey for Veneers - Parmire Turkey Reviews
Patient reviews highlight Turkey’s professionalism, attention to detail, and excellent results. Many mention the welcoming staff and seamless travel arrangements.
Check our patient testimonials
Testimonials often include before-and-after photos, personal stories, and satisfaction ratings. These give insight into real patient experiences.
Take the first step toward your confident expression. Contact Parmire to schedule a consultation, explore cosmetic treatment options, and discover why patients from around the world choose the best place for veneers in Turkey. Don’t wait—your dream teeth are just a call or click away! Our clinic is fully licensed, accredited by the AACI.
FAQ About The Best Places to Get Veneers in Turkey
What is the typical lifespan of veneers placed in Turkey?
With proper care, veneers in Turkey can last 10–15 years or more. At Parmire, we provide expert dental care for your perfect teeth.
Why do so many patients choose Turkey for their veneer treatments?
Affordable prices, skilled dentists, and modern clinics make Turkey a popular choice to get a confident expression. We help you achieve a beautiful smile.
What makes veneer procedures more affordable in Turkey?
Lower operational costs and competitive pricing keep cosmetic treatment budget-friendly.
Can veneers be applied if I have misaligned teeth?
Minor misalignments are fine, but severe cases may need orthodontics first.
Is it possible to get veneers when some teeth are missing?
Yes, though missing teeth may require implants before veneers are placed.
How many veneers are generally needed for a full smile makeover?
Usually, 16–20 veneers are used to cover all visible teeth.
What is the proper way to maintain veneers after the procedure?
Brush and floss daily, avoid hard foods, and attend regular dental checkups.
Is the veneer application process painful or uncomfortable?
Most patients feel little to no discomfort thanks to local anaesthesia.
Which types of food should I stay away from after getting veneers?
Avoid hard candies, ice, and very sticky foods to prevent damage.
Are there any other treatment options instead of veneers?
Alternatives include bonding, crowns, or orthodontic treatment.




Get in Touch