Our full mouth dental implants Turkey package deals at Parmire let you get high-quality care at a lower cost, so you can get a new smile. Explore our all-inclusive packages, including premium services, to make you focus on your treatment.





Types of Dental Implants
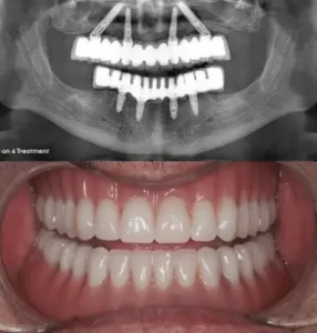
Full Mouth Dental Implants Turkey Price and Package Deals
The cost of full mouth dental implants in Turkey generally covers the cost of treatments directly associated with treatment, such as anaesthesia and panoramic X-rays, and also offers accommodation guarantees along with local transfers. This can make the price for several All-on-4 treatments as low as £1710, which is far less than that in other countries. Patients can save up to 70% if they choose full mouth dental implant treatment in Turkey instead of the UK.
Usually, full mouth dental implant treatments use four, six or eight implants per single jaw. The increased number of implant screws provides more stability to the attached fixed bridge that replaces the patient’s teeth, though some patients can lack jawbone density for eight or six implants per jaw.
Comprehensive packages for full dental implants
All-on-4 Implants
Per Jaw-
4 Straumann implants
-
VIP Transfer
-
Accommodation
-
Panoramic x-ray
All-on-6 Implants
Per Jaw-
6 Straumann implants
-
VIP Transfer
-
Accommodation
-
Panoramic x-ray
All-on-8 Implants
Per Jaw-
8 Straumann implants
-
VIP Transfer
-
Accommodation
-
Panoramic x-ray
Why Does the Full Mouth Dental Implants Cost in Turkey Vary?
The cost of full mouth dental implants Turkey can vary depending on the implant approaches, the materials used, and any extra treatments needed to prepare the jawline for implants. In addition, the reputation of the clinics and the level of experience of the professionals play a significant role in determining price differences.
Additional Services
Some patients may need more treatments before they can get full mouth implants. For instance, in complex cases where the jawbone isn’t functioning properly, dental surgeries such as sinus lifts or bone grafting may be necessary to stabilise the implant base.
Sinus Lift
Our dentists may advise patients to undergo a sinus lift if their upper jaw lacks sufficient bone to support implants. This treatment makes a strong base for dental implants by slowly lifting the sinus membrane and adding bone.
Bone Graft
Bone grafting is often necessary for people who have lost a lot of bone to ensure the jaw can hold the implants firmly. This process involves adding bone to areas with low bone density to establish a robust foundation for the implant.
Understanding Full Mouth Dental Implants Cost
Are you interested in knowing how much dental implants full mouth cost in Turkey? Before you make your decision to get dental treatments at Turkish clinics, we advise you to understand what the total price covers and the determinants of full implant cost.
What does the price of full mouth dental implants include?
Most clinics have packages that include everything you need, such as anaesthesia, diagnostic imaging (such as panoramic X-rays), tooth extractions (if necessary), and dental implants. Many packages also cover postoperative care, medications, lodging, and domestic transportation. This all-around method not only makes things easier for patients coming from other countries but also gives them peace of mind by lowering the risk of unexpected costs.
CE & FDA Approved Dental Implant Brand
£ 1,710
£ 2,470
£ 3,195
£ 2,470
What determines full dental implant costs?
Some factors influence the prices of full dental implants. Important considerations include implant system type. Different types of dental implant systems, such as All-on-4 or All-on-6, may have different prices depending on the materials used and the complexity of the process. The condition of the patient's jawbone plays a crucial role; the need for preparatory treatments such as bone grafts or sinus lifts can significantly influence the overall cost. The reputation of the clinic and the expertise of the dentists significantly influence the overall cost.
Full Dental Implants Turkey: Treatment Stages
Knowing the stages of the dental implants full mouth Turkey treatments can help people feel more at ease and prepared. Each stage is necessary for the process to go smoothly so that patients can get their smiles back and their teeth to work properly.
Stage 1: Consultation and planning
The process starts with a full dental consultation, during which dentists check the patient's oral health and talk about their specific wants and goals. Diagnostic imaging, such as panoramic X-rays, may be used at this first visit to check the health of the jawbone and structures nearby. With this information, the dentist can make a personalised treatment plan for you, discussing options such as implant systems and any necessary dental preparation.
Stage 2: Fixing implants
The next stage after creating the treatment plan is to surgically place the implants. Dental doctors insert titanium screws into the jawbone using tiny incisions. For the patient's comfort, we apply anaesthesia during this process. The screws hold the new teeth in place. Once the implants are in, the bone needs to heal for a few months so that it can join with the implants, making the tooth stable and strong.
Stage 3: Attachment of permanent teeth
Patients return to the clinic for the final treatment after osseointegration. At this visit, our dentists finish the repair by attaching the permanent teeth to the implants. This could involve attaching a fixed bridge or single crowns, depending on the chosen implant method.
How many visits to Turkey for full mouth implants?
Full mouth dental implants usually require a patient to travel to Turkey twice. Osseointegration, the process by which implants fuse with bone after initial implantation, typically takes about six months of healing. Patients have the option to either extend their stay in Turkey or go back for the last stage of therapy at this period. Usually, the treatments done during each stage are divided between the two visits, and the payment is divided accordingly.
How Much Is a Full Set of Dental Implants Turkey? Insights and Considerations
In Turkey, the price of a full set of dental implant treatments is much lower than in many other countries, and the price often includes accommodation and travel as part of a package deal. Prices change based on the type of implant and the clinic, but patients come from all over the world to Turkey to get good care at low costs thanks to these packages.
Who needs full mouth dental implants?
People who have lost most or all of their teeth because of old age, an accident, or oral problems should get total arch dental implant replacements. They are stable and long-lasting, and they look and work like natural teeth, making the person look and function better.
Total implants required for complete mouth restoration
Depending on the bone quality and the treatment plan chosen, a complete implant restoration usually needs between 4 and 8 implants per jaw. The more advanced methods, like all-on-4 or all-on-6, use fewer artificial tooth roots, which can support a full arch of false teeth well.
Aftercare for a complete set of dental implants in Turkey
After getting dental implant treatments in Turkey, it is very important to take care of them properly. Patients should do what their dentist tells them, such as regular cleanings and checkups, to get long-lasting benefits and avoid problems.
Full Mouth Dental Implants Turkey Package Deals Reviews
Many people from other countries choose to get dental care in Turkey because it is affordable and the dentists there are very experienced. Patients often say they had good experiences, pointing out that package deals that include transportation, accommodation, and specialised treatment plans make the process easy and stress-free. You can read reviews and find out more about our full mouth dental implant deals in Turkey by clicking here.
Full Mouth Implants Turkey Cost: Why Investing in Your Smile Is Worth It
Getting full mouth implant treatments may seem like a big step, but it can change your life by giving you back your smile and better oral health in the long run. Many patients choose to get dental work done in Turkey because it offers good oral care at low prices. Let’s examine the primary benefits!
Benefits of full mouth dental implants
Full mouth dental implant treatments replace lost teeth permanently and improve the way you chew, speak, and the shape of your face. They also keep your jawbone from breaking down and give you a stable, natural-looking option for dentures. We’ll talk about some more benefits of these treatments below.
Lifelong teeth restoration solution
Natural appearance
- The implant crowns match the colour and shape of your normal teeth. This makes your smile look natural and seamless. This change in how you look can give you a lot more confidence and let you enjoy normal social interactions without stress.
Stops bone deterioration and facial drooping
- When you lose teeth, your jawbone may start to break down over time. Implant restorations help keep the face structure and stop more bone loss by stimulating the bone. This can keep your face looking young by preventing the sunken or aged look that can come from lost teeth.
Simple maintenance and cleaning
- Taking care of full mouth implant replacements is easy and similar to taking care of real teeth. Brushing, flossing, and frequent dental checkups will keep them healthy.
Comprehensive Guide to Full Mouth Dental Implants Turkey Cost: Procedures and Options Explained
Understanding whole-mouth dental implant alternatives and dental implant package Turkey prices are crucial. Here you can find the most common implant systems to help patients choose dental repair options. Schedule your free consultation for a specialised dental treatment plan, too.
All on 4 implants
For minimally invasive upper and lower jaw restoration, all on 4 implants are popular. A permanent bridge is supported by four strategically placed titanium implants. All on 4 is a realistic choice for many patients since it requires less bone density than standard implants. This dental surgery allows patients to attain a complete smile with fewer implants, making it an attractive alternative for people seeking cheap choices in Turkey.
All on 6 implants
For stability and support, you should consider an All on 6 implant. Six dental implants secure a full-arch prosthesis for lifespan and function. Multiple implants improve weight distribution and can benefit patients with significant bone loss or those requiring a more durable treatment. This treatment is slightly more expensive than All on 4, but it offers extra protection and peace of mind that are worth considering.
All on 8 implants
Eight implants support a full set of teeth with the All on 8 implant system, increasing stability. This treatment is best for people with substantial bone loss or who seek the most reliable dental restoration. Extra implants stabilise and make eating and speaking more natural. The extra security and comfort of this treatment make it worth the higher cost for many people.
3 on 6 implants
Top Brands for Full Set of Teeth Turkey Cost
An effective and durable complete restoration requires the correct implant brand. Turkey attracts dental tourists with its high-quality implant brands and low rates. Here are some brands we partner with in our state-of-the-art clinic.
Astra Tech
Astra Tech implant treatments are noted for their high biocompatibility and innovative technology, which facilitates speedier healing and integration. Complete restorations from Astra Tech are commonly chosen for quality and strength.
Straumann
Precision and reliability characterise Straumann implant options. Straumann, known for its superior technology, is suggested for long-term tooth-like restorations.
Nobel Biocare
Nobel Biocare is known for its ingenuity and efficacy. Nobel Biocare implants are popular in Turkey because they fit securely and comfortably and offer a variety of complete repair alternatives.
CE & FDA Approved Dental Implant Brand
£ 1,710
£ 2,470
£ 3,195
£ 2,470
£ 2,470
£ 2,470



FAQ About Cost of Full Mouth Dental Implants in Turkey: Details You Need to Know
Is it worth it to get full mouth implants?
Yes, these artificial tooth roots are a permanent and stable answer that makes life better by improving function, looks, and confidence.
Is the process painful?
Local anaesthesia reduces operation discomfort. If there is any pain afterwards, medicines your dentist prescribes can help.
Do full mouth dental implants allow normal eating?
Once fixed, they act like natural teeth, allowing regular eating.
How long does it take to get full implants?
The process usually takes 6–8 months, depending on osseointegration.
Are dentures a better option than implants?
Implants endure longer and are more stable than dentures. Though cheaper, dentures require more care.
What are the financial benefits of dental implants versus dentures?
They cost more in the beginning but last longer and require less maintenance than dentures, saving money over time.
What if I've lost bone? Can I still get implants?
Most of the time, bone grafts or sinus lifts can get the jawbone ready for these replacements.
Does bone continue to deteriorate with implants?
No, they help keep the bone healthy by stimulating it.
Can bone grow around dental implants?
Yes, implant restorations help bone grow around them, which makes the jaw stronger.
Are implants possible with bad gum health?
Implants only work if your gums are healthy, but if you treat gum disease first, you may be able to get them later.









